sliceViewer
Description
Medical Imaging Toolbox™ extends the functionality of the sliceViewer (Image Processing Toolbox™) object to display the slices of a medicalVolume object in the
patient coordinate system. The function uses the medicalVolume properties to
orient slices, set the intensity display range, and scale anisotropic voxels. If you do not
have Medical Imaging Toolbox installed, see sliceViewer
(Image Processing Toolbox).
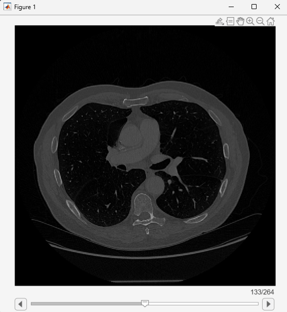
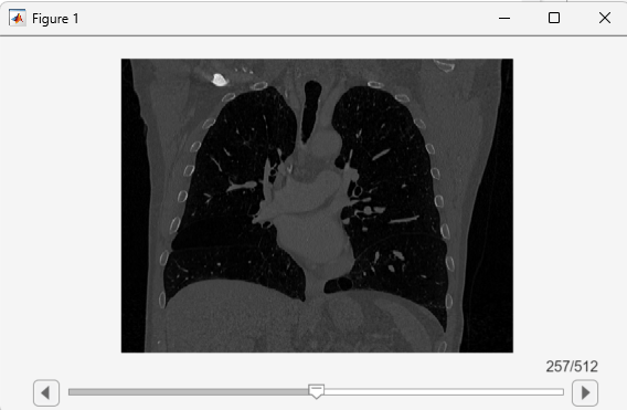
When it opens a figure, the sliceViewer object displays the middle image
in the stack. The viewer displays slices along the primary direction of the volume, specified
by the Orientation property of the medicalVolume object.
Use the slider to navigate through the volume and view individual slices.

The sliceViewer object supports properties, object functions, and events
that you can use to customize its appearance and behavior. The sliceViewer
object can send notifications when certain events occur, such as the slider moving. For more
information, see Events.
Note
By default, clicking and dragging the mouse in any slice view changes the brightness and
contrast, a technique called window/level. Drag the mouse left and
right to change the contrast. Drag the mouse up and down to change the brightness. Hold
Ctrl while you click and drag to accelerate changes. Hold
Shift while you click and drag to slow the rate of change. To control
this behavior, use the DisplayRangeInteraction property.
Creation
Syntax
Description
Medical Volume Object
sliceViewer(
orients the medical volume according to the display convention
medVol,AnatomicalConvention=convention)convention.
Numeric Array
sliceViewer( displays the grayscale or
RGB volume V)V, where V is a numeric array. Use
this syntax to display image file formats not supported by medicalVolume.
Additional Options
sliceViewer(___,
sets properties using one or more
name-value arguments, in addition to any combination of input arguments from previous
syntaxes. For example, PropertyName=Value)sliceViewer(medVol,Colormap=cmap) specifies
the colormap used to display the volume.
returns a
handle to the sv = sliceViewer(___)sliceViewer object, sv. Use
sv to access and modify properties that control the visualization
of the slice images.
Input Arguments
Properties
Object Functions
addlistener | Create event listener bound to event source |
getAxesHandle | Get handle to axes in slice viewer |
Examples
More About
Version History
Introduced in R2023a



