What Is DICOM?
DICOM, which stands for Digital Imaging and Communications in Medicine, is an international standard for storing, transmitting, and managing medical imaging information and related data. It ensures interoperability between different imaging devices and systems, such as MRI, CT, ultrasound, and X-ray machines, by standardizing the format of images and the communication protocols used to share them. DICOM files typically include both the image data and important metadata—such as patient information, imaging parameters, and study details—making it essential for efficient and accurate diagnosis, treatment planning, and archiving in healthcare environments.
Key Points
- DICOM is the most common standard for storing medical images and related metadata.
- The standard ensures compatibility and communication between different medical imaging devices and healthcare systems.
- It enables you to acquire and store multidimensional image data in a single data store with high dynamic range (up to 16-bit).
- Most medical device manufacturers fully support the standard, and it is widely used in hospitals and clinics.
The DICOM Data Format
The DICOM data format efficiently stores and transmits medical images and associated metadata in a standardized file. Each DICOM file contains data elements organized hierarchically, including tags, data types, lengths, and values. DICOM encapsulates image data, such as CT, MRI, ultrasound, or X-ray scans, alongside metadata, such as patient ID, acquisition settings, and timestamps. Unlike general-purpose image formats such as JPEG and PNG, DICOM is specifically designed for medical use, supporting multiframe images, 3D volumes, and integration with hospital information systems. Enhanced DICOM is an advanced version, better supporting modern imaging technologies and complex clinical workflows and making it crucial for clinical accuracy and interoperability.
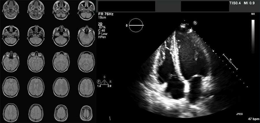
MR image series of a brain (left) and a cardiac ultrasound scan (right) stored in DICOM format.
Applications of DICOM
DICOM is essential in radiology and other medical fields, such as cardiology and oncology. Its ability to combine image data with detailed metadata makes it ideal for integration with AI and machine learning, supporting advanced image analysis, automated diagnostics, and clinical decision support. It also plays a vital role in telehealth, enabling secure and efficient sharing of medical images for remote consultations, second opinions, and collaborative care, especially in underserved or rural areas. This integration of DICOM into both traditional and emerging healthcare technologies continues to improve patient outcomes and streamline clinical workflows.
Managing DICOM Data with MATLAB
Managing DICOM data effectively involves best practices for storage, security, and analysis. DICOM files should be stored in a structured directory system, often integrated with PACS (Picture Archiving and Communication System), to ensure efficient retrieval and long-term accessibility. MATLAB® enables you to work with medical images in DICOM and enhanced DICOM formats and directly communicate with PACS servers. It provides powerful capabilities for processing and analyzing DICOM data, including reading, writing, visualizing, and segmenting medical images.
To maintain data security and compliance, especially with HIPAA, GDPR, and other regulations, it’s essential to implement encryption, access controls, and anonymization of patient data. With the dicomanon function in MATLAB, you can remove confidential medical information from the DICOM file and create a new file with the modified values. With Image Processing Toolbox™, Deep Learning Toolbox™, and Medical Imaging Toolbox™, you can automate medical imaging workflows, extract features, and even build AI models for diagnostic support, making MATLAB a valuable platform for both clinical research and medical device development.
3D chest CT scan in DICOM format visualized using Medical Image Labeler in Medical Imaging Toolbox. (See documentation.)
Examples and How To
Customer Success Stories
Videos
Examples
See also: medical devices, medical image analysis, medical image segmentation, Medical Imaging Toolbox
MATLAB and Simulink for Medical Imaging
Using MATLAB and Simulink, you can create image processing algorithms and explainable AI models for medical imaging, and design medical imaging devices.